Clínica dental en marbella
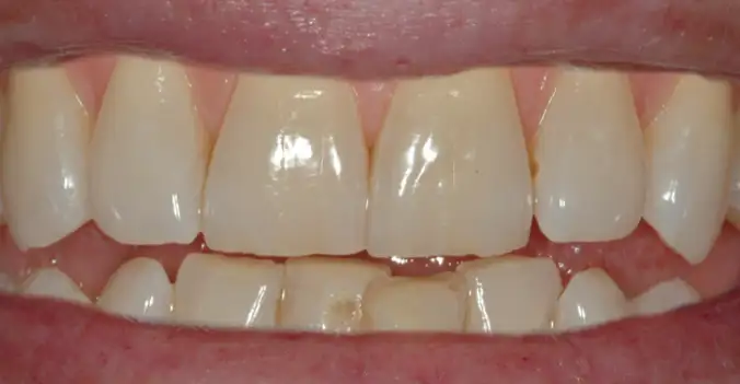
Consigue tu mejor versión. Presume de sonrisa
Nuestro enfoque en ortodoncia invisible va más allá de alinear dientes:
diseñamos sonrisas naturales y duraderas, adaptadas a cada persona.

¿Buscas la clínica de referencia para tu ortodoncia en la costa del sol?
Visítanos en Marbella y empieza a transformar tu sonrisa

En Clínica Kaizen nos dedicamos exclusivamente a la ortodoncia, con un enfoque centrado en el diagnóstico, la planificación y los resultados duraderos.
Acompañamos a niños, adolescentes y adultos, adaptando cada tratamiento a tus necesidades.
Nuestro objetivo no es solo alinear dientes, sino conseguir una sonrisa equilibrada, funcional y natural, que se mantenga en el tiempo.
Gracias a estar especializados en ortodoncia, a la experiencia por la trayectoria de la clínica, a la inversión tecnológica y formación continua de nuestro equipo, puedes tener la seguridad y confianza de estar en buenas manos.
Si buscas una clínica de ortodoncia en Marbella con un enfoque personalizado y resultados bien planificados, estás en el lugar adecuado.

Conoce a la Dra. Lourdes Bueno
La Dra. Lourdes Bueno es ortodoncista y directora de Clínica Kaizen en Marbella.
Con una sólida trayectoria en ortodoncia y una formación continua orientada a la excelencia clínica, ha tratado a cientos de pacientes, tanto adultos como niños.
En su práctica diaria, trabaja con un enfoque claro: estudiar cada caso con detalle y diseñar un tratamiento adaptado a cada persona.
Conseguimos resultados que no solo se vean bien, sino que funcionen y se mantengan en el tiempo.
Porque no todas las sonrisas necesitan lo mismo.
Ortodoncia
Basándonos en nuestro Análisis Kaizen de la sonrisa diseñamos planes de tratamiento personalizados, con el objetivo de mejorar la estética facial y conseguir resultados naturales y duraderos.
Nuestro enfoque se adapta a cada etapa: niños, adolescentes guiando el crecimiento y adultos mejorando la mordida y la estética.

Niños: respiración y crecimiento

Adolescentes: crecimiento y mordida

Adultos: estética y mordida
Armonización Orofacial
La armonización orofacial consiste en mejorar la forma en la que los labios y la zona de la boca se relacionan con el resto del rostro.
A veces, por la posición de los dientes, el desgaste o la forma de la mordida, pueden aparecer pequeños desequilibrios: labios que no cierran bien, asimetrías o cambios en la expresión.
En estos casos, y siempre tras un diagnóstico, podemos utilizar ácido hialurónico para mejorar ese equilibrio y conseguir un resultado más natural.



Tratamientos con láser
El láser nos permite realizar tratamientos en encías y tejidos blandos con una recuperación mejor para el paciente y sin inflamación ni sangrado.
Lo utilizamos, para mejorar la forma de las encías, eliminar frenillos que no permiten el desarrollo armónico de los huesos de la cara.
Blanqueamiento dental natural
Da luminosidad a tu sonrisa con un tratamiento profesional y personalizado.
Pregúntanos por las distintas opciones que tenemos y el mantenimiento del color obtenido.




Recontorneado y pulido de bordes dentales
Realizamos pequeños ajustes en la forma y longitud de los dientes para conseguir una sonrisa más armónica y cuidada.
Este tipo de tratamiento ayuda a suavizar irregularidades y aporta un efecto de rejuvenecimiento, devolviendo a la sonrisa un aspecto más fresco y natural.
Packs de mantenimiento tras el tratamiento de ortodoncia
Disponemos de distintas opciones de mantenimiento de tu salud y estética tras tu tratamiento de ortodoncia.


Descubre los 10 mitos sobre la ortodoncia INVISIBLE e Invisalign
Puede que lleves bastante tiempo pensando en opciones de ortodoncia y dudando si empezar o no.
Mi nombre es Lourdes Bueno, especialista en ortodoncia y te doy la bienvenida a esta guía donde encontrarás fácilmente respuesta a tus preguntas.
Nuestros clientes opinan
Time to be proud of your smile

